What Are Tooth Fillings?
Tooth fillings are used to replace parts of the tooth that have been damaged by decay, damaged from a break or a crack, or worn away by trauma. Restoring the tooth with a filling helps preserve the life of the tooth and prevent future damage, or even losing the tooth due to decay.

Fillings were traditionally made from gold, but today, they can be made from gold, silver, or white-colored composite resin. The process of having a dental filling applied is now virtually painless, thanks to the use of local anesthetics.
When Do You Need A Tooth Filling?
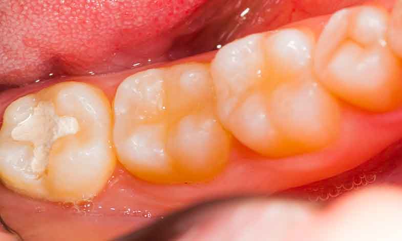
Tooth fillings are most often used to repair cavities, which are spots of tooth decay caused by oral bacteria. Dr. White can remove the decayed material from your tooth and repair the hole with the filling material of your choice gold, silver, or composite. This stops the decay from progressing any further. It also keeps the tooth strong and healthy while preventing any further damage such as cracks or chips from occurring.
Before

After

Some signs you may have a cavity that requires filling are:
- A constant, dull toothache
- Sensitivity to hot and cold beverages and foods
- The appearance of a black or brown spot on the surface of your tooth
- Sharp pain when biting down on a certain tooth
- Bad breath that does not go away with brushing
Keep in mind that not all cavities cause the symptoms above. In many cases, cavities do not cause any symptoms at all until it is already too late and the decaying damage has already been done. This is why it is so important to set up your annual Dental Hygiene Checkup with Dr. White to help prevent further damage from tooth decay or cavities when you least expect it.
What Is The Benefit To Tooth Fillings?
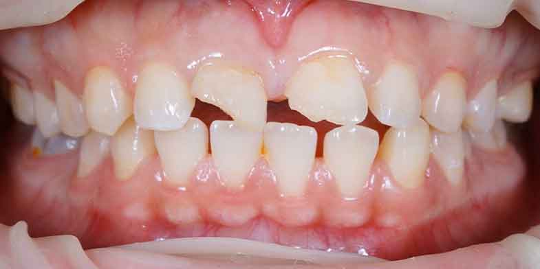
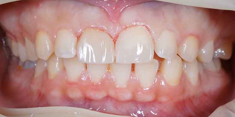
Sometimes, fillings are needed to address problems other than cavities. If you chip one of your teeth, your dentist may recommend a filling to repair the chip.
Before

After

Some patients will even grind their teeth eventually wear down their enamel to the point that a dental filling is needed to prevent further damage. Other people bite their nails regularly while other people use their teeth to open packages or containers. Either way, this causes the enamel on your teeth to wear down which causes chips in your teeth which then calls for a filling to help protect your teeth from future cavities and decay.
What Are My Options When It Comes To Tooth Fillings?
When it comes to fillings, there are 3 types to choose from.
-
Gold Fillings:
Gold fillings have been used for hundreds of years without any negative effects on the human body associated with them. Gold has always been the best material ever used to repair a cavity or a part of the tooth that is broken or damaged. The only drawback to gold fillings is that they require two appointments. This is because the gold has to be made outside the mouth and then seated and cemented onto the tooth. According to all of our patient’s reviews, gold fillings are the most “comfortable” type of filling they have ever had. -
Silver Fillings:
Just like gold fillings, silver fillings have been used for over a hundred years with no negative side effects on the human body. Silver Fillings are made of silver, tin, copper, and zinc. We still use a bonding agent to make it adhere to the tooth. Just like gold fIllings, silver fillings have been recorded to last for the lifetime of the patient. -
White Composite Fillings:
White Composite Fillings are made of a composite of fillers and molding materials. They are bonded to the tooth and shaped and polished to be invisible from view. When composite fillings first came out they were only used on front teeth. Recent studies have shown white-colored fillings to be strong enough for placement on back teeth as well.
So how do you know which filling is best for you? The easiest way to find out is to set up your free consultation with Dr. White. He will listen to your issues and give you his best suggestion for resolving your tooth filling needs.
Want to Learn More About Tooth Fillings?
So how do you know which filling is best for you? The easiest way to find out is to set up your free consultation with Dr. White. He will listen to your issues and give you his best suggestion for resolving your tooth filling needs.